TEAM
SALVATORE VALITUTTI
DynAct :
Molecular dynamics of Lymphocyte Interactions
The team is part of the ERC Synergy Grant funded “ATTACK Cancer” consortium, aiming to develop more effective and targeted cancer treatments.
The Toulouse Cancer Laboratory of Excellence is a project that aims to understand the mechanisms of resistance and relapse in cancer.
THE SPECIFITIES
OUR RESEARCH AXIS
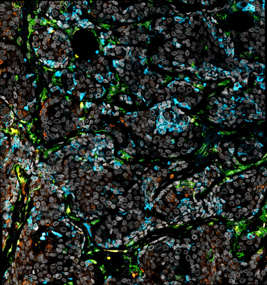
Immune responses are based on multiple and dynamic interactions between cells of the immune system leading to the formation of specialized signaling areas, the immunological synapses.
Our team applies a combination of state-of-the-art approaches, including fast live cell imaging and super-resolution microscopy (on single cells and human tissue slices) as well as mathematical modeling, in order to visualize and interpret the molecular dynamics occurring at immunological synapses. Deciphering the intercellular communication at the level of immunological synapses may contribute to the design of innovative therapeutic strategies aimed at modulating immune responses in different pathological contexts. Our research develops along the following 4 main axes.
Immunological synapse
Cytotoxic T lymphocytes
Tumor immunology
Real-time imaging techniques
Tumor immunoevasion
Pyroptosis
Computational biology
In silico modeling
Computer vision
Cartesian genetic programming
CD8+ memory-resident
T cells
Tumor microenvironment
RESEARCH PROJECTS
The struggle between cytotoxic t lymphocytes and tumor cells at the lytic synapse
Dr Salvatore Valitutti
Modeling and computer vision applied to the study of competitive ctl/target cell interactions
Salvatore Valitutti & Sylvain Cussat-Blanc
Function and regulation of tissue memory-resident cd8+ t cells
Fanny Lafouresse
Study of target cell pyroptosis in the context of ctl-induced death
Dr Brienne Mckenzie
Deciphering the functional heterogeneity of cytotoxic T lymphocytes in cancer
Roxana Khazen
THE TEAM’S
FOCUS
Discover
Understand
Participate
scientific productions
PUBLICATIONS 2026
PUBLICATIONS 2025
PUBLICATIONS 2024
PUBLICATIONS 2023
PUBLICATIONS 2022
PUBLICATIONS 2021
PUBLICATIONS 2020
PUBLICATIONS 2019
TEAM MEMBERS
PARTNERSHIPS & FUNDING
Toulouse Cancer Research Center (Oncopole)
Toulouse - FR
Follow us on social network
Contact us
+33 5 82 74 15 75
Want to join
the CRCT team ?



























